Learning is always a valuable opportunity, and in the field of MiCD,
it is the only way to keep progressing professionally
| MICD CASES
|
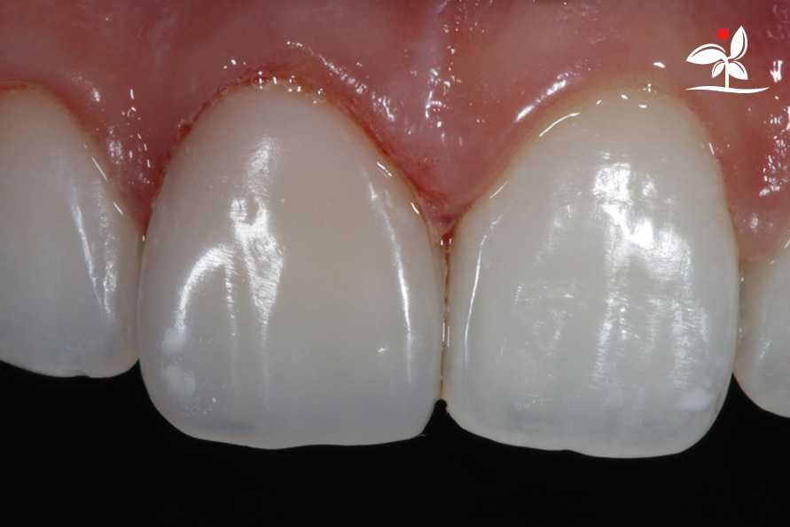
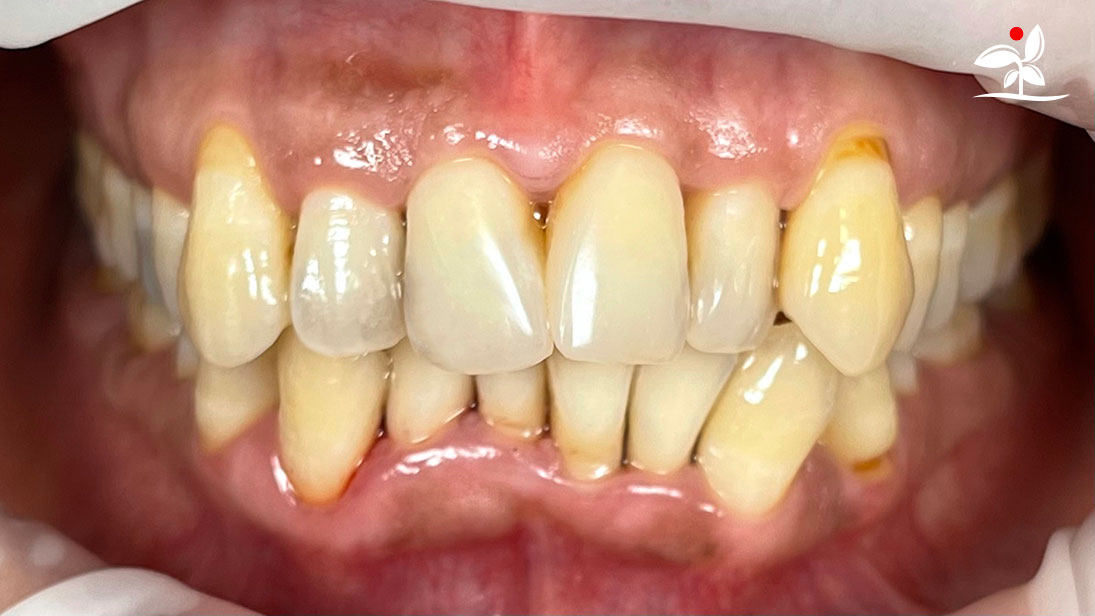
Naturomimetic Direct Veneer (NDV) Restoration of a Discolored Anterior Tooth Dr Sushil Koirala Nepal |
![]() |
|
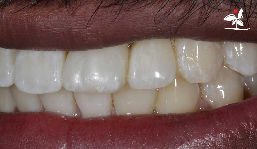
MiCD Adhesive Bridge Using Non Metallic Trinia base and Ceramage Indirect Composite Resin Dr Sushil Koirala Nepal |
![]() |
|
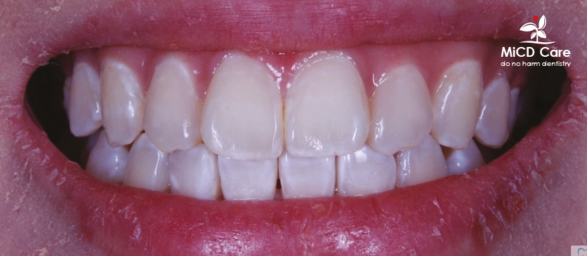
One Visit Smile Makeup Dr Sushil Koirala Nepal |
![]() |
|
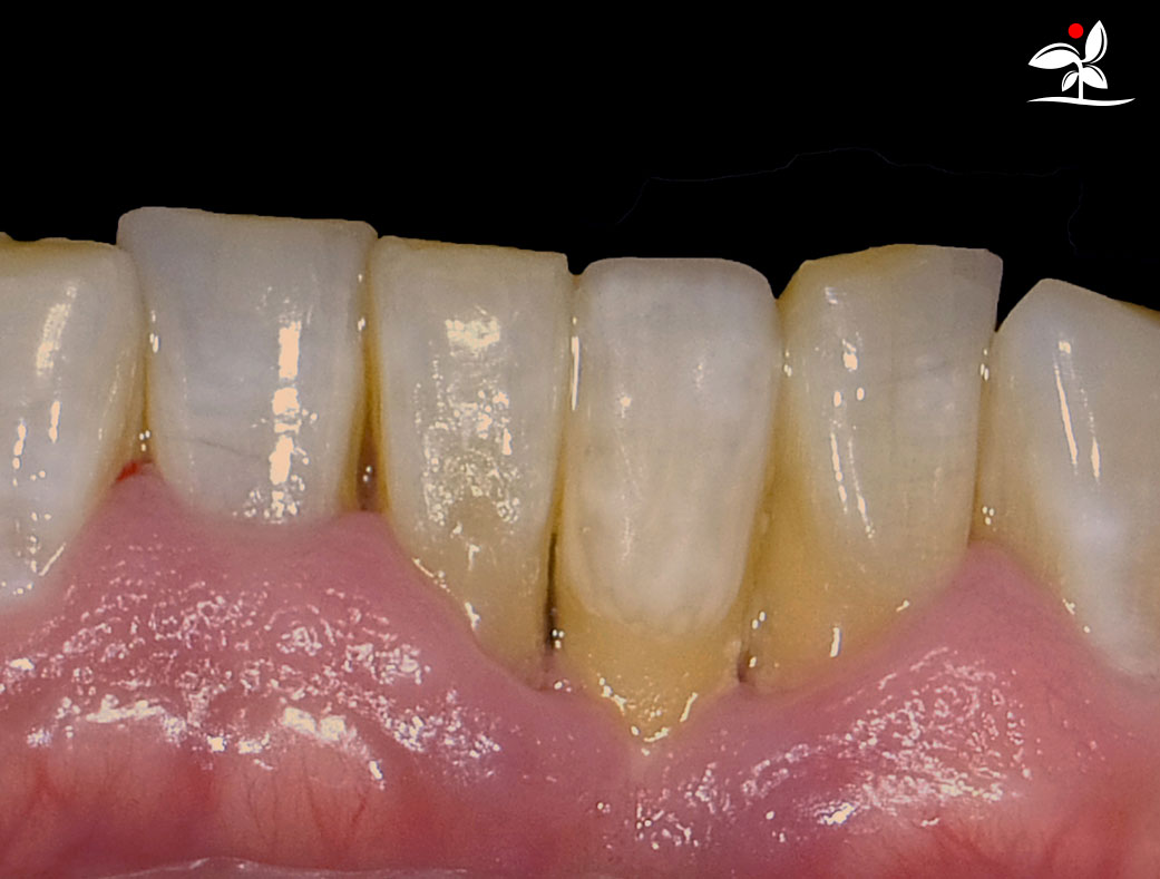
Minimally Invasive Approach to Teeth Color (white / brown patches) Modification Dr Melvin Sia Singapore |
![]() |
|
Direct Aesthetic Restorations of Fractured Anterior Teeth using MiCD Protocol Dr Amit Gulati India |
![]() |
|
Your Guiding Philosophy, Your Pathway to Success Dr Kimberly Ray R Fajardo, DMD Philippines |
![]() |
|
Restoration of Class IV Lesions using Naturomimetic Layering Technique (NLT)
and Bioactive Restorative Materials Dr Aung Pyae Phyo Myanmar |
![]() |
|
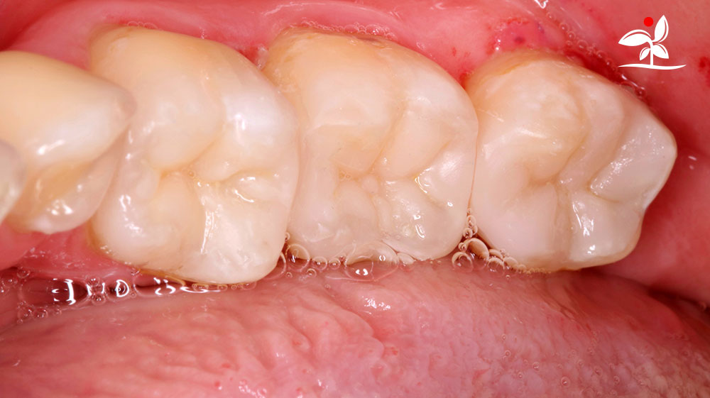
Predictable Posterior Restorations with BioSmart Restoratives Dr Hussein Naama Hamza Iraq |
![]() |
|
Restoring of Fractured Anterior Tooth using Direct Composite Dr Ronnie Yap Singapore |
![]() |
|
Restoration of Fractured Anterior Teeth with Direct Composites Jose Roberto S. Moura Jr. Brazil |
![]() |
































