Learning is always a valuable opportunity, and in the field of MiCD,
it is the only way to keep progressing professionally
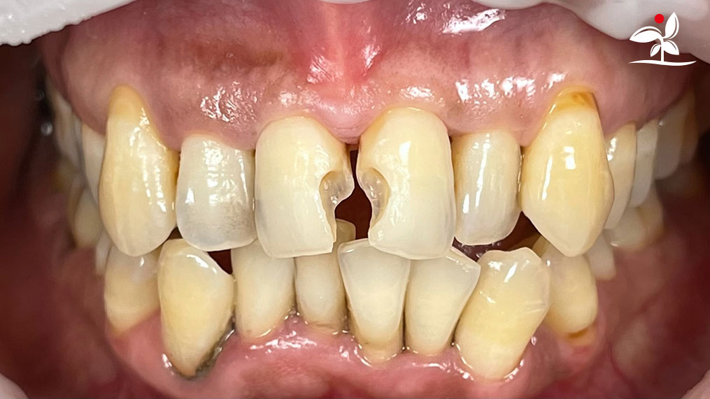
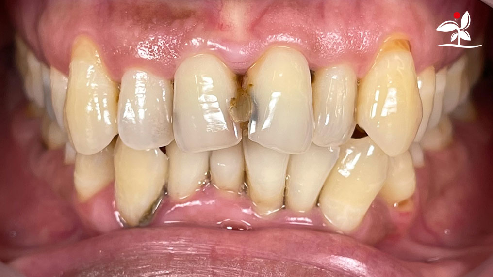
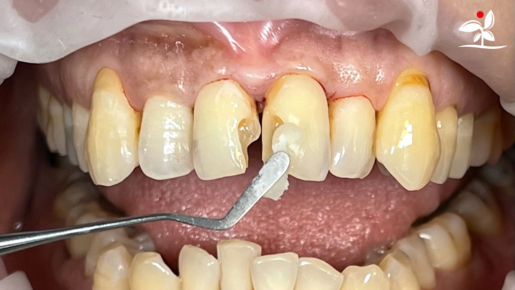
Restoration of Class IV Lesions using Naturomimetic Layering Technique (NLT) and Bioactive Restorative Materials
Dr Aung Pyae Phyo, Myanmar
With the growing awareness about the health, function and aesthetic benefits of preserving natural tooth structure, patients are now globally demanding for aesthetic dentistry with minimally invasive procedures that has a low biological cost. This public demand has encouraged logical clinicians to adopt to the minimally invasive cosmetic dentistry (MiCD) concept and its treatment protocol [1] in their practice. The author has been using MiCD concept and its treatment protocols since 2017, which
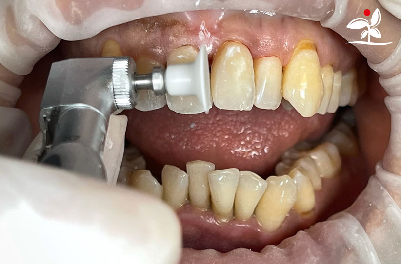
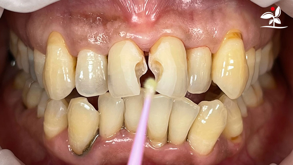
include the methods of treatment that are simple, fast, predictable and healthy. In aesthetic restoration, the tooth color restorative materials placement technique is one of the most challenging, confusing and frustrating areas to learn owing to the multiple techniques that have been proposed by many clinicians and replicating such techniques in practice is not always as easy as they are marketed in dentistry. Natural teeth are complex in structure and hard to simulate due distribution of colors through enamel and dentin [2]. Aesthetic restoration strategies should follow proper understanding of defects, right selection of restorative materials along with their proper application, finishing, texturing and polishing [2].





















